
ΑΝΤΙΜΕΤΩΠΙΣΗ ΑΣΗΠΤΗΣ ΝΕΚΡΩΣΗΣ ΑΣΤΡΑΓΑΛΟΥ ΜΕ CORE DECOMPRESSION ΚΑΙ ΕΓΧΥΣΗ ΜΕΣΕΓΧΥΜΑΤΙΚΩΝ ΒΛΑΣΤΟΚΥΤΤΑΡΩΝ
Ιστορικό Η πάσχουσα, 79 χρονών, κάτοικος ορεινού χωριού απομακρυσμένης νήσου του Αιγαίου, από εξαμήνου περίπου άρχισε να αιτιάται για πόνο εντοπιζόμενο στην περιοχή της Δεξιάς (Δ) Ποδοκνημικής Άρθρωσης. Ο πόνος άρχισε χωρίς να υπάρχει προφανής αιτία και προοδευτικά επιδεινωνόταν, όπως και η δυσκαμψία της άρθρωσης.Η πάσχουσα αναγκάσθηκε να περιορίσει σημαντικά την κινητικότητα της και να λαμβάνει συστηματικά αντιφλεγμονώδη φάρμακα, χωρίς ωστόσο να βελτιώνεται η κατάσταση της.
Ο αρχικά γενόμενος κλινικός έλεγχος, δεν έδειξε να υφίσταται στο ιστορικό της πάσχουσας ιδιαίτερη πάθηση και δεν ελάμβανε φάρμακα πλην αντιϋπερτασικών και προσφάτως επιπλέον τα αντιφλεγμονώδη τύπου NSΑΙDS (μη στεροειδή αντιφλεγμονώδη). Η πάσχουσα ήταν γενικά δραστήρια, είχε δε σωστή αναλογία ύψους και βάρους.
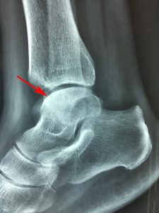
Ο ακτινολογικός έλεγχος (22.7.2019) δια απλών ακτινογραφιών της (Δ) ποδοκνημικής άρθρωσης-άκρου ποδός, ανέδειξε την ύπαρξη οστικής βλάβης στην υπαρθρική περιοχή του αστραγάλου.
- α
- β
- γ
- δ
Εικόνα 1, α,β,γ,δ
Ακτινογραφίες προσθιοπίσθιες (α & β) και πλάγιες (γ & δ) της (Δ) ποδοκνημικής άρθρωσης. Παρατηρείται υπαρθρική οστική βλάβη στην άνω-έσω γωνία του αστραγάλου. Δεν παρατηρείται καταστροφή των αντιστοίχων αρθρικών επιφανειών αστραγάλου-κνήμης.
Περαιτέρω έγινε έλεγχος της ποδοκνημικής άρθρωσης δια Μαγνητικής Τομογραφίας (22.7.19).
- α
- β
- γ
- δ
Εικόνα 2, α,β,γ,δ
Μαγνητική Τομογραφία (Δ) ποδοκνημικής άρθρωσης, ακολουθίες Τ1 & Τ2 Ι – Μετωπιαία (Coronal) λήψη α, β. Παρατηρείται οστική βλάβη, εντοπιζόμενη στην άνω-έσω υπαρθρική περιοχή του αστραγάλου. Δεν υφίσταται διαταραχή των σχέσεων τω αρθρικών επιφανειών κνήμης και αστραγάλου, ούτε καθίζηση της αρθρικής επιφάνειας του αστραγάλου. Η εστιακή βλάβη του αστραγάλου έχει διάμετρο μικρότερη του ενός εκατοστού και έχει τα χαρακτηριστικά της οστικής νέκρωσης. Η οστική αντίδραση καταλαμβάνει μεγαλύτερη έκταση, καθ΄ όλο το μήκος της έσω περιοχής του αστραγάλου.
- α
- β
- γ
- δ
- ε
- ζ
Εικόνα 3, α,β,γ,δ,ε,ζ
Μαγνητική Τομογραφία (Δ) ποδοκνημικής άρθρωσης. Ακολουθίες Τ1 & Τ2 ΙΙ – Πλαγία (Sagittal) λήψη. Παρατηρείται υπαρθρική εντόπιση της οστικής νεκρωτικής βλάβης του αστραγάλου. Είναι ασαφές αν υφίσταται ελάχιστη καθίζηση της αρθρικής επιφάνειας του αστραγάλου στο κέντρο της άρθρωσης. Η οστική αντίδραση εκτείνεται προς τα κάτω μέχρι την υπαστραγαλική άρθρωση.
Εικόνα 4
Μαγνητική Τομογραφία (Δ) ποδοκνημικής άρθρωσης. ΙΙΙ – Εγκάρσια (Axial) λήψη στο επίπεδο της αστραγαλο-κνημικής άρθρωσης. Παρατηρείται η εστία της οστικής βλάβης – οστικής νέκρωσης – και περιοστική αντίδραση πέριξ αυτής.
Η ακτινολογική διάγνωση μετά την γενόμενη Μαγνητική Τομογραφία, ήταν ότι υφίσταται ΑΣΗΠΤΗ ΟΣΤΙΚΗ ΝΕΚΡΩΣΗ ΤΟΥ ΑΣΤΡΑΓΑΛΟΥ.
Στην πάσχουσα προτάθηκαν διάφορες θεραπευτικές αντιμετωπίσεις, μεταξύ των οποίων ήταν να υποβληθεί σε ολική αρθροπλαστική της ποδοκνημικής. Αποφασίσθηκε ωστόσο να γίνει συνδυασμός Core Decompression της πάσχουσας περιοχής του αστραγάλου, σε συνδυασμό με έγχυση στην περιοχή ομολόγων Μεσεγχυματικών Βλαστοκυττάρων. Στην περίπτωση αποτυχίας αυτής της αντιμετώπισης, να υποβληθεί η πάσχουσα σε κάποια από τις μείζονες χειρουργικές επεμβάσεις.
Η πάσχουσα αποδέχθηκε την πρόταση και τον Αύγουστο του 2019 έγιναν υπό τοπική αναισθησία και μέθη :
- Λήψη Μεσεγχυματικών Βλαστοκυττάρων. Το αίμα ελήφθη με οστική παρακέντηση και αναρρόφηση από την πρόσθια άνω λαγόνια ακρολοφία και μετά από φυγοκέντρηση συγκεντρώθηκε όγκος 6-7 κ.εκ. συμπυκνώματος Μεσεγχυματικών Βλαστοκυττάρων (MSCs) και P.R.P (Platelet-Rich-Plasma).
Εικόνα 5,
Υπό τοπική αναισθησία και μέθη, αναρρόφηση αίματος από την πρόσθια άνω λαγόνια ακρολοφία.
- Υπό ακτινοσκοπικό έλεγχο, έγινε Core Decompression (οστική αποσυμπίεση) στην εστία της οστικής βλάβης του αστραγάλου, και
- Στη συνέχεια έγχυση του συμπυκνώματος των Μεσεγχυματικών Βλαστοκυττάρων (MSCs) και του Platelet-Rich-Plasma (PRP) στην περιοχή της οστικής βλάβης του αστραγάλου.
Η μετεγχειρητική πορεία υπήρξε ομαλή. Η πάσχουσα εξήλθε του Νοσοκομείου βαδίζουσα χωρίς φόρτιση του σκέλους για περίοδο έξη εβδομάδων. Προοδευτικά κινητοποιήθηκε με αυξανόμενη φόρτιση του σκέλους μέχρι τον έκτο μετεγχειρητικό μήνα, οπότε της επιτράπηκε να βαδίζει με πλήρη φόρτιση του σκέλους.
Εκτοτε η χειρουργηθείσα ουδέποτε επανήλθε για έλεγχο διότι ήταν πολύ ικανοποιημένη.
Ο τελευταίος έλεγχος έγινε κατόπιν τηλεφωνικής επικοινωνίας στις 10 Ιανουαρίου 2023, δηλαδή 2 ½ χρόνια μετά την επέμβαση. Η πάσχουσα, 83 χρονών τώρα, ήταν εξαιρετικά ευχαριστημένη, βάδιζε επί αρκετό και δεν ελάμβανε αναλγητικά ή αντιφλεγμονώδη φάρμακα για πόνο εκ της ποδοκνημικής άρθρωσης.
Στην πρόταση μου να υποβληθεί σε έλεγχο της ποδοκνημικής δια Μαγνητικής Τομογραφίας για να ελεγχθεί η κατάσταση των αρθρικών επιφανειών της ποδοκνημικής άρθρωσης, αρνήθηκε διότι δεν εύρισκε τον λόγο να υποβληθεί σε ακτινολογικό έλεγχο εφόσον δεν είχε κανένα σύμπτωμα και ήταν πλήρως λειτουργική.
Παρατηρήσεις
- Η Άσηπτη Οστική Νέκρωση του Αστραγάλου, αποτελεί εξαιρετικά επώδυνη κατάσταση, δεδομένου ότι οδηγεί σε καταστροφή της ποδοκνημικής άρθρωσης με συνέπεια η κινητικότητα του πάσχοντος να περιορισθεί εξαιρετικά λόγω του συνεχούς άλγους. Το άλγος αυξάνεται έντονα κατά την ορθία στάση και βάδιση λόγω του γεγονότος ότι η ποδοκνημική είναι φορτιζόμενη άρθρωση.
- Στα αρχικά στάδια εγκατεστημένης ΑΣΗΠΤΗΣ ΟΣΤΙΚΗΣ ΝΕΚΡΩΣΗΣ ΤΟΥ ΑΣΤΡΑΓΑΛΟΥ, όταν δεν έχει προκληθεί καθίζηση της αρθρικής επιφάνειας του αστραγάλου, έχει εφαρμοσθεί από δεκαετίες χειρουργική αντιμετώπιση, συνισταμένη σε Core Decompression (τρυπανισμός για αποσυμπίεση) στην εστία της βλάβης με μέτρια αποτελέσματα, δεδομένου ότι η ποδοκνημική άρθρωση είναι φορτιζόμενη με συνέπεια να υποβάλλεται συνεχώς σε μεγάλες καταπονήσεις.
- Επί εγκατεστημένης αρθρίτιδας της ποδοκνημικής άρθρωσης, όταν τα συνήθη συντηρητικά μέσα δεν προσφέρουν ανακούφιση στον πάσχοντα, προτείνονται χειρουργικές αντιμετωπίσεις μεταξύ των οποίων είναι η αρθρόδεση και η ολική αρθροπλαστική της ποδοκνημικής.
- Σχετικά, χρονικώς πρόσφατα κατά την τελευταία δεκαετία, εφόσον δεν έχει επέλθει καθίζηση της αρθρικής επιφάνειας του αστραγάλου, η επέμβαση στην εστία της οστικής νέκρωσης πλην του Core Decompression συνδυάζεται με PRP ή και έγχυση Μεσεγχυματικών Βλαστοκυττάρων (MSCs).
- Στη μελέτη τους επί της αποτελεσματικότητας των Μεσεγχυματικών Βλαστοκυττάρων, οι M.Dorig et al. συμπέραναν ότι επί άσηπτης νέκρωσης τα αποτελέσματα είναι πολύ καλύτερα όταν το Core Decompression συνδυάζεται με την έγχυση συμπυκνώματος Μεσεγχυματικών Βλαστοκυττάρων σε σχέση με την απλή εφαρμογή Core Decompression.
- Επιπλέον, οι Hernigou P. et al. σε μελέτη τους, έδειξαν ότι επί οστεονέκρωσης, τα αποτελέσματα είναι καλύτερα όταν γίνεται συνδυασμός συμπυκνώματος Μεσεγχυματικών Βλαστοκυττάρων (MSCs), Platelet-Rich-Plasma (PRP) και Core Decompression μόνο.
Συμπέρασμα
Σε αρχόμενη Άσηπτη Νέκρωση της Κεφαλής του Αστραγάλου όταν ακόμη δεν έχει επέλθει καταστροφή-καθίζηση της αρθρικής επιφάνειας, γεγονός που οδηγεί σε αρθρίτιδα της ποδοκνημικής, η αντιμετώπιση με συνδυασμό :-Core Decompression, και -Έγχυση στην εστία της οστικής βλάβης Μεσεγχυματικών Βλαστοκυττάρων (MSCs), και -Platelet-Rich-Plasma (PRP) είναι σε θέση να προσφέρει μακροχρόνια καλά αποτελέσματα.
Βιβλιογραφία
- Dhillon S. Mandeep et al.: Management Options in Avascular Necrosis of Talus. Indian J. Orthop., 2018 May-Jun;52(3):284-296, Doi:10.4103/ortho.I. J. Ortho 608-17.
- Parekh G. Selene, Kadakia J. Rishin: Avascular Necrosis of the Talus. Journal of the American Academy of Orthopaedic Surgeons, 29(6): p-e267-e278, March 15, 2021, Doi:10.5435/JAAOS-D-20-00418.
- Hernigou Philippe, et al: Stem Cell Therapy in early post-Traumatic Talus Osteonecrosis. Orthop.2018 Dec:42(12): 2949-2956, Doi:10.1007/500264-017-3716-7.EpUB 2018 Jan.5.
- Doring Michaela et al: Longtime Outcome after Intraosseous Application of Autologous Mesenchymal Stromal Cells in Pediatric Patients and Young Adults with Avascular Necrosis after Steroid or Chemotherapy. Stem Cells and Development: Vol. 29 No.13, published on line: 26 June 2020/https:doi.org/10.1089/scd.2020.0019.
- Hernigou Philippe, Beaujean Françoise.: Treatment of Osteonecrosis with Autologous Bone Marrow Grafting. Clinic.Orthop.Perat.Res. 405:14-23.
Leave a reply →















