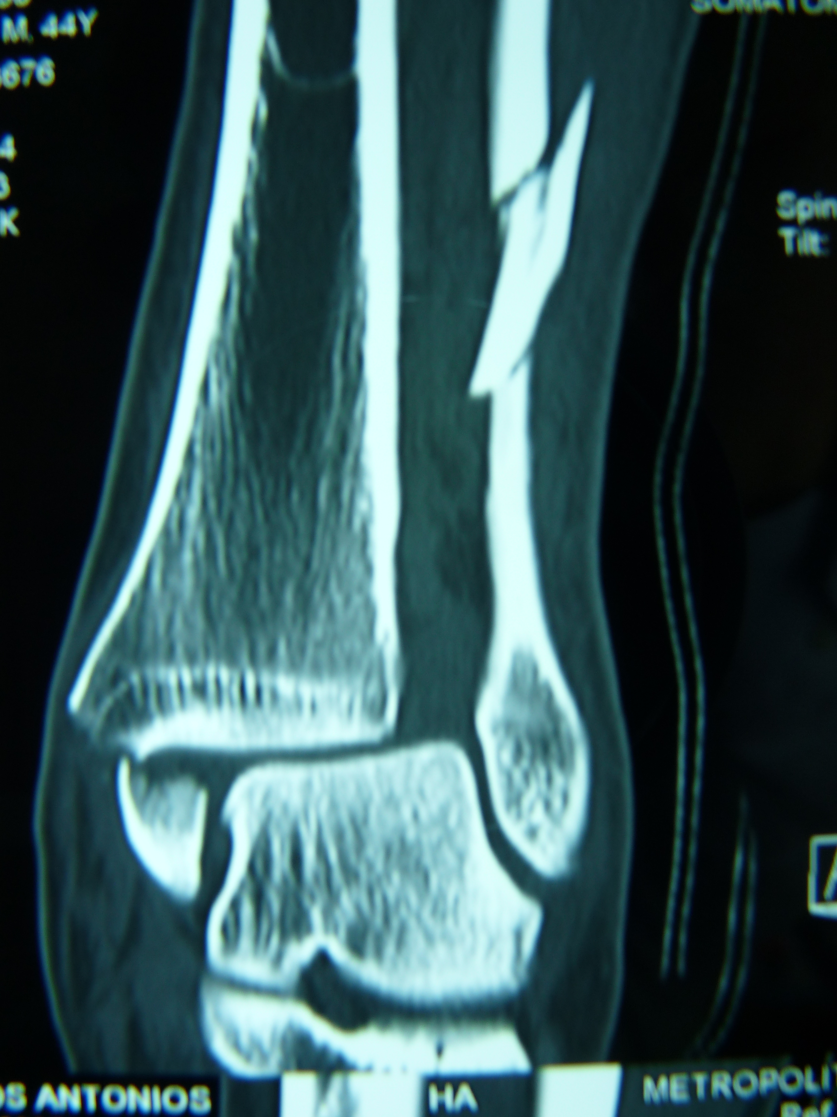
Περίπτωση: Αν. Ζε – Ποδοκνημικό κάταγμα – Τραυματιολογία
Ο Αν. Ζε. 45 ετών κατόπιν πτώσεως υπέστει κάταγμα των οστών της ποδοκνημικής.
- α
- β
- γ
- δ
- ε
Εικόνα 1: α,β Προσθιοπισθίες και γ,δ,ε Πλαγίες ακτινογραφίες της ποδοκνημικής άρθρωσης
Παρατηρείται κάταγμα του κάτω τριτημορίου της περόνης , κάταγμα του έσω και οπισθίου σφυρού, διάσταση – ρήξη της κνημοπερονιαίας συνδέσμωσης, πλάγιο και οπίσθιο εξάρθρημα της ποδοκνημικής άρθρωσης.
Ο ασθενής υποβλήθηκε σε χειρουργική επέμβαση για ανάταξη και σταθεροποίηση των καταγμάτων και της άρθρωσης.
- α
- β
Εικόνα 2: α Προσθιοπισθία και β Πλαγία μετεγχειρητική ακτινογραφία της ποδοκνημικής άρθρωσης
Το κάταγμα της περόνης έχει αντιμετωπισθεί με πλάκα και βίδες οστεοσυνθέσεως, το κάταγμα του έσω σφυρού με σύστημα ταινίας ελκυσμού (tension band), η ρήξη του κνημοπερονιαίου συνδέσμου έχει αντιμετωπιστεί με βίδα η οποία εισέρχεται από την περόνη εντός της κνήμης και με αυτό τον τρόπο έχει αποκατασταθεί και ησωστή θέση της ποδοκνημικής άρθρωσης.
- α
- β
Εικόνα 3: α Προσθιοπισθία και β Πλαγία μετεγχειρητική (3 μήνες μετά) ακτινογραφία της ποδοκνημικής άρθρωσης
Παρατηρείται η σωστή θέση της ποδοκνημικής άρθρωσης και η ακεραιότητα των υλικών








