
Περίπτωση: Μα. Σφ. – Πολυτραυματίας – Κάταγμα πτερνών
Ο Μα. Σφ. 35 ετών κατόπιν πτώσης από ύψος υπέστει: κατάγματα πτερνών, ιερού οστού της σπονδυλικής στήλης, του ωλεκράνου (αγκώνας) και ενδoαρθρικό κάταγμα της πηχεοκαρπικής.
Εικόνα 1
Παρατηρείται 3ου βαθμού βαρειά επιπλεγμένη κάκωση της δεξιάς ποδοκνημικής άρθρωσης.
- α
- β
- γ
Εικόνα 2 α,β,γ
Προεγχειρητική αξονική τομογραφία των πτερνών
Η αρ. πτέρνα έχει υποστεί οστική βλάβη μικρής έκτασης, η δεξιά έχει συντριβεί.
Λόγω της επιπλεγμένης κάκωσης της δεξιάς ποδοκνημικής και της συντριπτικότητας του κατάγματος, η αντιμετώπιση υπήρξε χειρουργική. Εφαρμόστηκε σύστημα εξωτερικής οστεοσύνθεσης (υβρίδιο Ilizarof)
- α
- β
- γ
Εικόνα 3 α,β,γ
Διεγχειρητικές φωτογραφίες με την εφαρμογή του υβριδικού συστήματος Ilizarof
- α
- β
Εικόνα 4 α,β
Διεγχειρητική ακτινογραφία με την εφαρμογή του συστήματος Ilizarof
Η ανάταξη και σταθεροποίηση του κατάγματος της (αρ) πτέρνας υπήρξε χειρουργική δια της εφαρμογής κοχλιών οστεοσυνθέσεως.
Το κάταγμα του ωλεκράνου ανατάχθηκε και σταθεροποιήθηκε με σύστημα ταινίας ελκυσμού (Tension-Band)
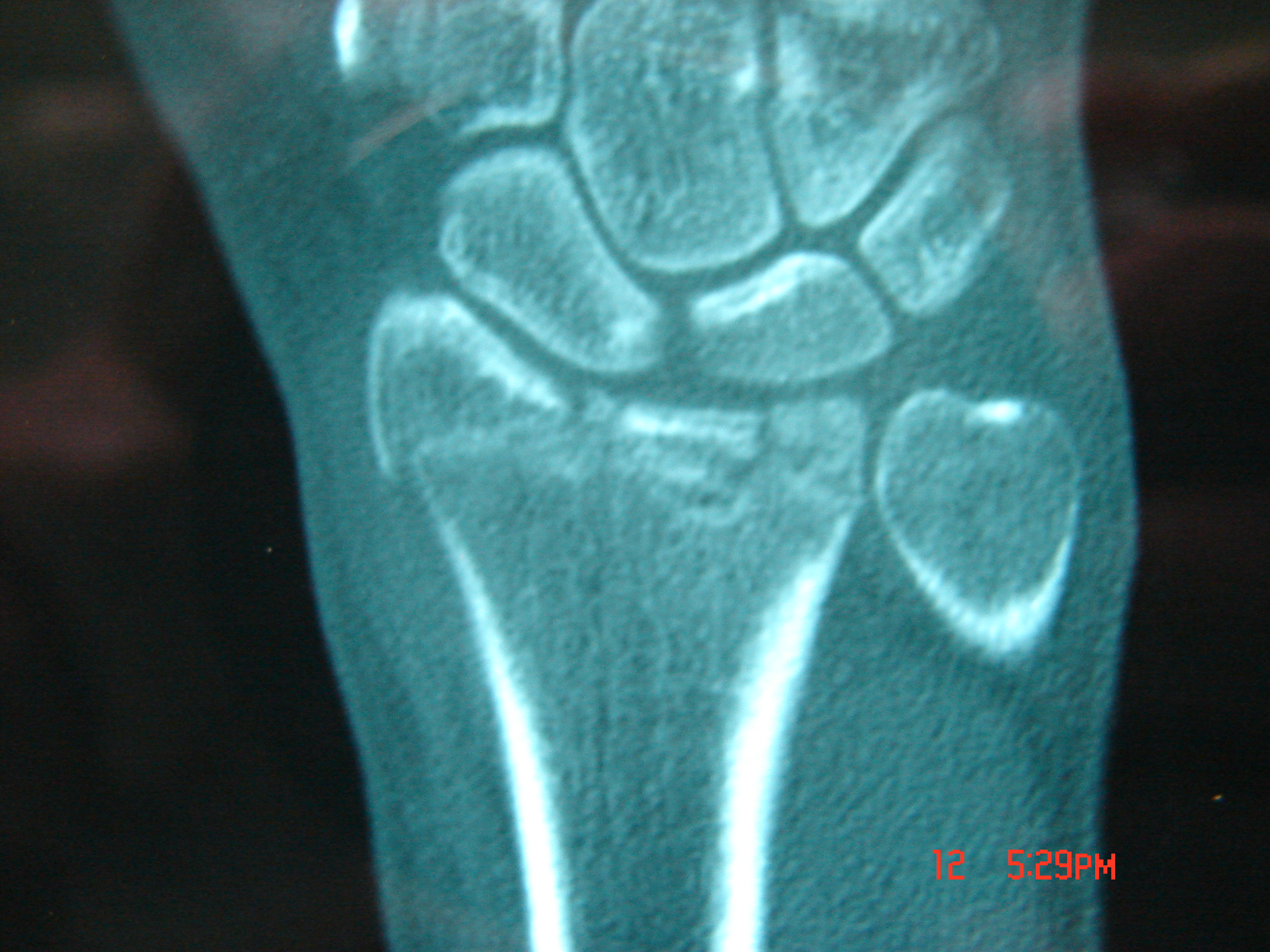
Το ενδοαρθρικό κάταγμα της πηχεοκαρπικής (κερκίδα) αντιμετωπίσθηκε συντηρητικά με πηχεοκαρπικό γύψο.
- α
- β
- γ
Εικόνα 4 α,β,γ
Συντριπτικό ενδο-αρθρικό κάταγμα με παρεκτόπιση
Το απερεκτόπιστο κάταγμα του ιερού οστού, που δεν είχε προκαλέσει νευρολογικές διαταραχές αντιμετωπίσθηκε συντηρητικά.
Η μετεγχειρητική πορεία ήταν πολύ καλή, η κινητοποίηση όμως καθυστέρησε λόγω των πολλών καταγμάτων, γεγονός που δεν επέτρεπε την ταχεία φόρτιση κανενός σκέλους.
- α
- β
- γ
- δ
Εικόνα 5 α,β,γ,δ
Μετεγχειρητικές φωτογραφίες του δεξιού κάτω άκρου.
Παρατηρείται η προοδευτική αποκατάσταση των ιστών
Leave a reply →
















