logo

Γεώργιος Σάπκας

Καθηγητής Ορθοπαιδικής

  • Ο Καθηγητής
  • Ενημέρωση
    • Γενικά Θέματα
    • Περιπτώσεις Ειδικού Ενδιαφέροντος
    • Ομιλίες
    • Μαθήματα
    • Εκπομπές
    • Βίντεο
    • Βιβλία
    • Περιοδικά
    • Συνέδρια – Σεμινάρια
  • Εικόνες αρχείου
  • Ερωτήσεις
  • Επικοινωνία
  • Παθήσεις Σπονδυλικής Στήλης
    • Μεταβολικές Παθήσεις – Οστεοπόρωση (Metabolic Diseases – Osteoporosis)
      • Internal Fixation – Εσωτερική Σταθεροποίηση
      • Kyphoplasty – Κυφοπλαστική
    • Κακώσεις Σπονδυλικής Στήλης (Spinal Injuries)
      • Bracing – Κηδεμόνες
      • Cervical – Αυχενική Μοίρα
      • Lumbar – Οσφυική
      • Sacral – Ιερά
      • Thoracic – Θωρακική
      • Thoraco-lumbar – Θωρακο-οσφυική
    • Νεοπλασματικές Παθήσεις της Σπονδυλικής Στήλης (Τumors)
      • Benign – Καλοήθεις
      • Metastasis – Μετάσταση
      • Primary Malignant – Κακ. πρωτοπαθείς
    • Λοιμώξεις (Infections)
      • Echinococcus – Εχινόκοκκος
      • Post-Operative – Μετεγχειρητικές
      • T.B.C. – Φυματίωση
      • Other Infections – Άλλες Λοιμώξεις
    • Ρευματολογικές Παθήσεις (Rheumatoid Diseases)
      • Angylosing Spondylitis – Αγκυλοποιητική Σπονδυλίτιδα
      • Rheumatoid Spondylitis – Ρευματική Σπονδυλ.
      • Various – Άλλες
    • Παραμορφώσεις (Deformities)
      • Malformation – Σκολίωση
        • Idiopathic – Ιδιοπαθής
        • Νευρομυική
        • Ενήλικος
        • Παιδική – Εφηβική
        • Various – Άλλη
      • Κύφωση
    • Εκφυλίστικές παθήσεις (Spinal Degenerations)
      • Complication – Επιπλοκές
      • Disc – Δίσκος
      • Stenosis – Στένωση
    • Τεχνικές Περιορισμένης Επεμβατικότητας (Minimal Invasive Operative Techniques)
      • New Techniques – Νέες Τεχνικές
    • Εμβιομηχανική (Bioengineering)
    • Βιοτεχνολογία (Biotechnology)
  • Ορθοπαιδική & Τραυματιολογία
    • Παθήσεις των οστών και των αρθρώσεων
    • Κακώσεις του μυοσκελετικού συστήματος
  • Αναγ. Ιατρική
  • Ο Καθηγητής
  • Ενημέρωση
    • Γενικά Θέματα
    • Περιπτώσεις Ειδικού Ενδιαφέροντος
    • Ομιλίες
    • Μαθήματα
    • Εκπομπές
    • Βίντεο
    • Βιβλία
    • Περιοδικά
    • Συνέδρια – Σεμινάρια
  • Εικόνες αρχείου
  • Ερωτήσεις
  • Επικοινωνία
  • Παθήσεις Σπονδυλικής Στήλης
    • Μεταβολικές Παθήσεις – Οστεοπόρωση (Metabolic Diseases – Osteoporosis)
      • Internal Fixation – Εσωτερική Σταθεροποίηση
      • Kyphoplasty – Κυφοπλαστική
    • Κακώσεις Σπονδυλικής Στήλης (Spinal Injuries)
      • Bracing – Κηδεμόνες
      • Cervical – Αυχενική Μοίρα
      • Lumbar – Οσφυική
      • Sacral – Ιερά
      • Thoracic – Θωρακική
      • Thoraco-lumbar – Θωρακο-οσφυική
    • Νεοπλασματικές Παθήσεις της Σπονδυλικής Στήλης (Τumors)
      • Benign – Καλοήθεις
      • Metastasis – Μετάσταση
      • Primary Malignant – Κακ. πρωτοπαθείς
    • Λοιμώξεις (Infections)
      • Echinococcus – Εχινόκοκκος
      • Post-Operative – Μετεγχειρητικές
      • T.B.C. – Φυματίωση
      • Other Infections – Άλλες Λοιμώξεις
    • Ρευματολογικές Παθήσεις (Rheumatoid Diseases)
      • Angylosing Spondylitis – Αγκυλοποιητική Σπονδυλίτιδα
      • Rheumatoid Spondylitis – Ρευματική Σπονδυλ.
      • Various – Άλλες
    • Παραμορφώσεις (Deformities)
      • Malformation – Σκολίωση
        • Idiopathic – Ιδιοπαθής
        • Νευρομυική
        • Ενήλικος
        • Παιδική – Εφηβική
        • Various – Άλλη
      • Κύφωση
    • Εκφυλίστικές παθήσεις (Spinal Degenerations)
      • Complication – Επιπλοκές
      • Disc – Δίσκος
      • Stenosis – Στένωση
    • Τεχνικές Περιορισμένης Επεμβατικότητας (Minimal Invasive Operative Techniques)
      • New Techniques – Νέες Τεχνικές
    • Εμβιομηχανική (Bioengineering)
    • Βιοτεχνολογία (Biotechnology)
  • Ορθοπαιδική & Τραυματιολογία
    • Παθήσεις των οστών και των αρθρώσεων
    • Κακώσεις του μυοσκελετικού συστήματος
  • Αναγ. Ιατρική

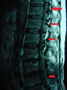
DSC00060_bakas_echinococos

  • Home
  •  
  • DSC00060_bakas_echinococos

    • 15 SEP 15
    • 0 comments

    DSC00060_bakas_echinococos

    Leave a reply →
    • Posted in
    • Posted by
    • Zoe Tsapou
© Copyright Sapkas George 2014 - 2020
Top